臨床医学系講座
運動器外科学・腫瘍集学治療学 (整形外科学)Musculoskeletal Surgery・Multimodality Therapy for Cancer (Orthopaedic Surgery)
- TEL
- 059-231-5022
- FAX
- 059-231-5211
整形外科は骨、関節、筋肉、腱、靭帯、神経などで構成される運動器の疾患を扱います。運動器は体幹や四肢の機能を健全に保ち、QOLを維持するために大切ですが、超高齢社会を迎えた我が国では運動器の障害が増加しています。当科では、関節疾患、脊椎・脊髄疾患、骨折・脱臼などの外傷、スポーツ傷害、骨軟部腫瘍、骨粗鬆症などの運動器疾患に対して適切な医療を提供しています。
- 教 授
- 長谷川 正裕
- 准教授
- 明田 浩司
- 講 師
- 西村 明展
中村 知樹
内藤 陽平
伊東 直也 - 助 教
- 竹上 徳彦
宮村 岳
刀根 慎恵
萩 智仁
浅野 貴裕
松山 優実
小林 凱 - 学部担当科目
- -
- 附属病院診療科
- 整形外科
- 居室
- 病態医科学研究棟 4階
研究・教育内容
専門グループによる臨床的・基礎的な研究を精力的に行っています。
●関節班
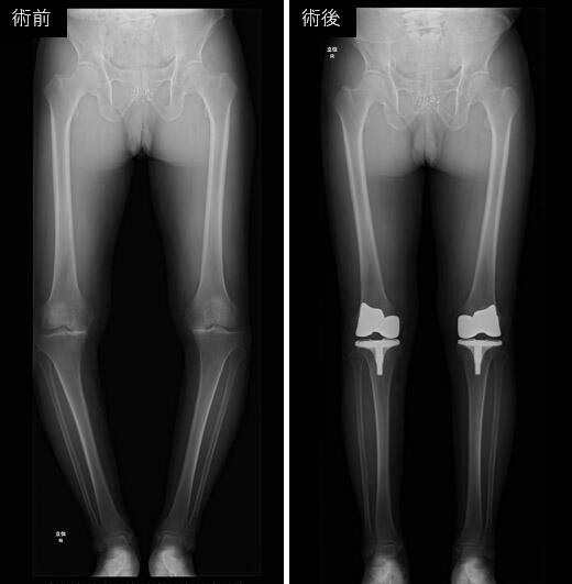
整形外科では、コンピューター支援技術を積極的に活用し、安全性が高く、低侵襲かつ高精度な人工股関節置換術や人工膝関節置換術を実施しています。特に、当院独自に開発した拡張現実(Augmented Reality, AR)技術を取り入れたナビゲーションシステムを導入することで、より正確な手術を実現しています。この技術により、血管や筋肉を詳細に描出することが可能となり、さらなる安全性の向上に貢献しています。また、ロボット支援手術も取り入れており、これら最先端のデジタル技術によって、精密で個別化された医療を提供し、治療成績の向上を目指しています。基礎研究においては、変形性関節症や関節リウマチの病態解明、関節軟骨の修復・変性抑制など、幅広いテーマに取り組み、次世代の医療技術の開発に努めています。
●骨軟部腫瘍班
臨床では、悪性骨軟部腫瘍に対して腫瘍用人工関節置換術や、術中体外照射処理骨を用いた再建術などの患肢温存手術を行っており,その成果を報告するとともに更なる機能向上と生命予後の改善を目指しています。また新規化学療法薬の開発を行っており,基礎研究では細胞株やマウスを用いて治療効果の検討を行っています。
●脊椎班
主に脊椎外傷、脊椎・脊髄腫瘍、加齢性変性疾患、脊柱変形(側弯症)に対する外科的治療と椎間板再生治療や脊椎インプラントに関する基礎的・臨床的研究を行っています。椎間板再生治療に関しては、椎間板性疼痛患者に対する自己多血小板血漿(PRP)上清注入療法を行っています。基礎研究では、椎間板変性および腰痛のメカニズムの解明を行っており、新しい脊椎インストゥルメンテーションの開発にも取り組んでいます。
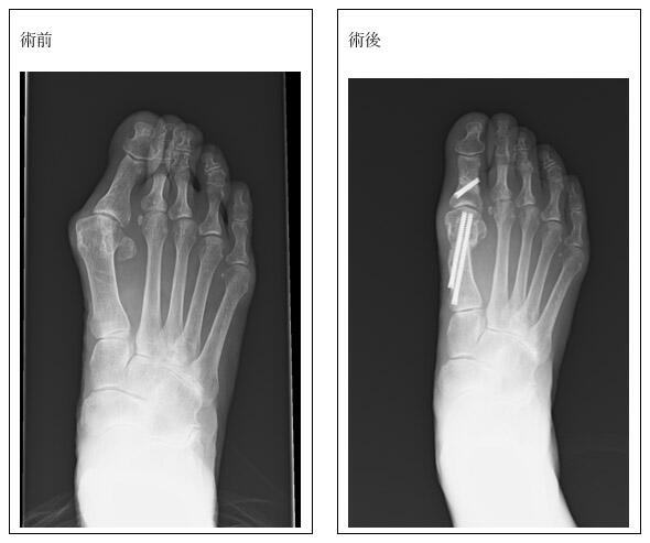
●スポーツ・足班
足部・足関節(足首より先)の傷害全般および膝関節のスポーツ障害を対象に、低侵襲治療をモットーとして診療を行っています。
研究面では、アスリートにおけるスポーツ傷害の実態調査や予防に関する研究、高齢者の介護予防・健康寿命延伸を目的とした疫学研究・介入研究を進めています。
また、腱修復促進をテーマとした基礎研究にも取り組んでいます。
●上肢班
肩腱板断裂に対する関節鏡視下手術をはじめ、関節破壊が高度な症例に対する人工肩関節置換術を行っています。人工肩関節手術においては、術前CTデータを用いたナビゲーションシステムを活用し、解剖学的特性に基づいた正確なインプラント設置を行うことで、より高い再現性と良好な術後成績を目指しています。
また、手根管症候群や肘部管症候群などの末梢神経絞扼障害に対する手術、上肢の変形性関節症や関節リウマチによる変形に対する再建手術、さらに上肢領域の骨折、腱損傷などの外傷手術、末梢神経損傷に対するマイクロサージャリーによる神経縫合や神経移植術など、上肢全般の疾患に幅広く対応しています。
研究業績
-
Comparison between accuracy of augmented reality computed tomography-based and portable augmented reality-based navigation systems for cup insertion in total hip arthroplasty.
Hasegawa M, Naito Y, Tone S, Sudo A.
Sci Rep. 14(1),8332,2024 -
Comparison of accuracy and early outcomes in robotic total knee arthroplasty using NAVIO and ROSA.
Hasegawa M, Tone S, Naito Y, Sudo A.
Sci Rep. 14(1):3192,2024 -
Two- and three-dimensional evaluations following handheld robot-assisted total knee arthroplasty
Tone S, Hasegawa M, Naito Y, Wakabayashi H, Sudo A
Journal of Robotic Surgery 18(1), 70, 2024 -
Comparison of femoral bone remodeling after total hip arthroplasty with cementless short-tapered wedge stem and fully hydroxyapatite-coated stem.
Naito Y, Hasegawa M, Tone S, Wakabayashi H, Sudo A
Arch Orthop Trauma Surg. 144(8), 3767-74, 2024 -
Influence of Central Sensitization on Surgical Outcomes of Patients With Degenerative Cervical Myelopathy After Posterior Decompression Surgery: A Multicenter Prospective Study.
Akeda K, Takegami N, Yamada J, Fujiwara T, Murata K, Kono T, Sudo T, Imanishi T, Kurata T, Kawakita E, Sakakibara T, Kondo T, Takegami K, Sato M, Sudo A
Global Spine J. 14(4):1277-86,2024 -
Factors associated with early postoperative pain after lateral lumbar interbody fusion.
Takegami N, Akeda K, Kawaguchi K, Fujiwara T, Sudo A
Spine Surg Relat Res. 8(5): 494-500, 2024 -
Prevalence and risk factors of ankle osteoarthritis in a population-based study
Nishimura A, Senga Y, Fujikawa Y, Takegami N, Akeda K, Ogura T, Sudo A.
Foot Ankle Surg. 30(5):389-393, 2024 -
Recurrent peroneal tendon dislocation-the current concept of management
Nishimura A, Fujikawa Y, Senga Y, Nakazora S, Konno C, Sudo A.
Ann Jt. Aug 30;9:40. 2024 -
The Combined Use of Inflammation Markers, Modified Glasgow Prognostic Score, and Sarculator Nomogram in Extremity Soft Tissue Sarcoma: A Multicenter ObservationalStudy
Nakamura T, Takenaka S, Outani H, Hagi T, Tamiya H, Imura Y, Asanuma K, Sudo A.
Cancers 16(5):1077.2024 -
Prediction of prognosis using artificial intelligence-based histopathological image analysis in patients with soft tissue sarcomas.
Hagi T, Nakamura T, Yuasa H, Uchida K, Asanuma K, Sudo A, Wakabayashi T, Morita K.
Cancer Med. May;13(10),2024





